Logo

  • 主页
  • 联系我们

atlases@chinese-brain-atlases.org

  • 主页
  • 科研人员
  • 相关论文
  • 联系我们
  • 模板下载

脑模板下载

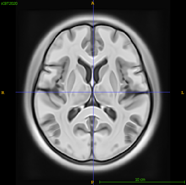
20岁脑模板

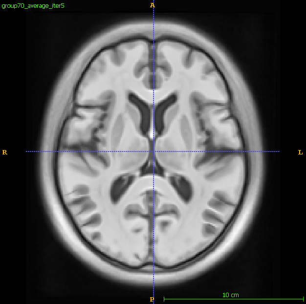
70岁脑模板

中国人的脑模板标准空间

脑模板空间对应的brodmann分区

脑模板空间对应的aal分区

About

  • About us
  • Contact us
  • Privacy policy
  • Terms & Conditions

Contact us

College Green
56 College Green Road
BS16 AP18
UK

atlases@chinese-brain-atlases.org

Copyright © 2014-2015. All rights reserved. Technical Support:Chinese Brain templates and atlases